Dr. Chirag N. Solanki

Consult Now

+919104080055

Our Blog

PAY-cyst1
Jun 1, 2022 11:13 AM

Girl suffering headaches for two years has tapeworm cyst removed by doctors – –

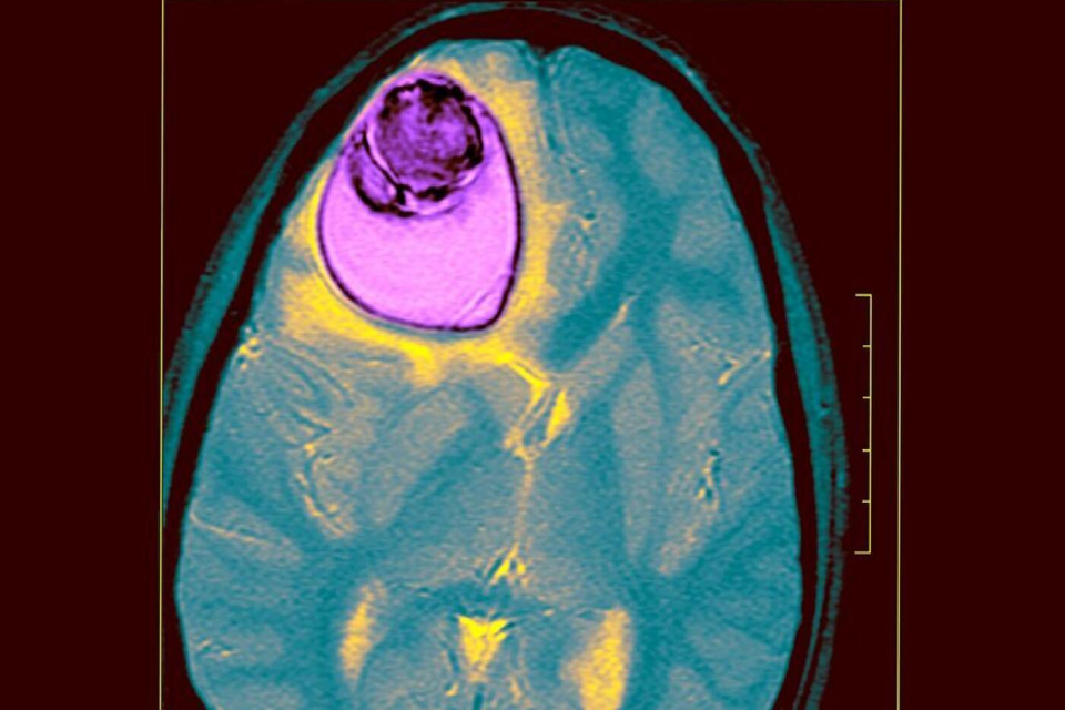
A 12-year-old girl has had a tapeworm cyst half the size of her brain removed from her head believed to be the largest in medical history.

Read More
PAY-cyst1
Jun 1, 2022 11:13 AM

Horrifying pictures show 12-year-old girl with a tapeworm cyst half the size of her BRAIN in her head —

12-year-old Nita Juggi, from Kutch, in Gujarat, central India, had been suffering from seizures, headaches and weakness for over two years,

Read More
PAY-cyst1
Jun 1, 2022 11:13 AM

Girl, 12, horrified as doctors discover a TAPEWORM cyst covering half her brain which could burst and kill her at any moment – –

A girl who was paralysed down one side of her body was found to have a giant tapeworm cyst covering more than half of her brain

Read More
PAY-cyst1
Jun 1, 2022 11:13 AM

Girl suffering headaches has GIANT tapeworm cyst removed from brain – ––

An Indian girl who was mysteriously paralysed down one side of her body was operated on by doctors where they found a tapeworm cyst

Read More
Book Appointment

We are here to make your brain, and spine healthy and normal like others.

FIGURE2